妙手回春
順天堂練馬の外科系医師によるエッセイ:妙手回春

| 妙手回春(みょうしゅかいしゅん)とは 手を触れれば春になるかのような、凄腕の医師、また敏腕の医師により病気が良くなること。順天堂の3代目堂主であった佐藤進先生は、1895年の日清戦争中に狙撃された清国全権大使の李鴻章の治療にあたり、これを見事に快復させました。和親条約を締結後、李鴻章は扁額「妙手回春」を佐藤進先生に贈りました。そのレプリカは当院の1号館2階初診受付前にも飾られています |
第34回
産科・婦人科
笠原 華子
「私はのめり込みやすい」
それを自覚したのは中学生の時だった。当時流行していたvisual系、特にGLAYにまんまとハマった。ひたすらにCDを聴き、雑誌を買い漁り、ラジオは毎週録音して繰り返し聴いた。GLAYに少しでも近付きたくてドラムも習い始めた。GLAYはドラマーの席が空いていたのだ!両親は呆れながらも付き合ってくれた。今思えば、きっと私の性格をわかってくれていたのだと思う。
なぜかGLAYのドラマーでなく医師になった私は、産婦人科を専攻した。産婦人科は、実に自分に合っていると思う。周産期、腫瘍、生殖内分泌、女性医学と4領域もあり外科も内科も実践できる。極める内容が多岐に渡ることから、興味深くのめり込める事柄がいくらでもあるのだ。以前はどの領域に進むか悩んだこともあったが、絞る必要はないと感じた。好きこそ物の上手なれと言うように、何事も面白くのめり込んで追求すれば、どんな領域も興味深いものだ。医師としてモチベーションを維持するためには、目標を掲げ、それに向かって邁進することが重要だと思っている。
医師になって17年。どの領域も妙手回春のレベルには到達できていない。まだまだこれからである。産婦人科を専攻したことで、モチベーションを維持できているように思う。 ちなみに今はvisual系を卒業し、Heavy Metalに入魂中なのである。どの領域もやはり最高に面白い。
華の女子大生時代(右から2番目が筆者)
【第33回】上田 哲也(脳神経外科)
第33回
脳神経外科
上田 哲也
大学時代、ヨット部でお世話になった先輩であり、現在は産婦人科で活躍されている伊藤先生から、今回のコラムのバトンを引き継ぐ形で執筆の機会をいただいた。
ヨットの全日本コーチである小松監督にご指導いただいたこともある。若い私は、特別な戦術や秘策を期待したが、繰り返し示されたのは、基本の徹底だった。一見地味な動作を崩さず積み重ねること。それこそが艇を速く安定して走らせる唯一の道だと教えられた。
その経験は、外科医となった今の自分にも重なる。
「妙手回春(みょうしゅかいしゅん)」――
手を触れれば春が巡るかのように病を癒す、凄腕の医師を称える言葉である。
医師の家庭に育ったわけではなく、医療の現場を身近に知る機会もなかった私にとって、外科医の姿はテレビの中に映るものがすべてであり、妙手回春を体現する存在であった。決定的な一手で患者を救う姿に強い憧れを抱いていた。
しかし実際に手術室に立つようになると、その印象は静かに変わっていった。手術とは、決して一瞬の妙技で成り立つものではない。解剖を深く理解し、基本手技を反復するという、地道な積み重ねがある。目立たない努力を一つひとつ重ねることが、結果として患者の回復へとつながる。
「妙手」とは、天賦の才能や劇的なひらめきを意味するのではなく、積み重ねの先にようやく滲み出る確かさなのではないか。その言葉を胸に、今日もまた手術と向き合っている。
顕微鏡を用いてガーゼの縫合練習をしている姿
【第32回】伊藤 陽介(産科・婦人科)
第32回
産科・婦人科
伊藤 陽介
外科系医師のリレーエッセイの依頼が届いた。諸先輩方から手渡されてきたバトンだと思うと、正直なところ少し身構えた。過去の原稿を読み返してみると、ブラック・ジャックを原点に語る先生が驚くほど多い。皆、分かりやすく似たところからこの道を選んできたのだと思うと可笑しくなり、遠い存在だと思っていた先輩方が、急に身近に感じられ、不思議な安心感を覚えた。
医学生時代、私はヨット部に所属し、週末は海で過ごしていた。一艇のヨットを二人で走らせる。帆を操りバランスをとる者がいて、舵を取る者がいる。若い頃は、自分が舵を握れば何とかなると思い込み、クルーの忠告に耳を貸さず、結果として転覆しかけたこともあった。自然相手の競技は、独りよがりを一切許さなかった。
医師となってからも、その感覚は変わらない。年齢を重ねるにつれ、技術や知識を磨くだけではどうにもならない場面が増えてきた。家庭があり、コメディカルや同僚、後輩たちとチームを作る立場になり、自分一人の判断や技量だけで物事が進んでいるわけではないことを、日々実感している。むしろ、周囲に支えられてこそ、自分はここに立てているのだと思うようになった。
妙手とは、特別な誰かの両手を指す言葉ではない。失敗を重ね、人の手を借りることを覚えた先に、ようやく近づけるものなのだろう。その一つとして恥ずかしくない手であり続けるために、今日もまたメスを手に取る。
ヨット部時代の筆者(右)。左は脳神経外科の上田哲也医師
【第31回】矢崎 悠太(小児外科)
第31回
小児外科
矢崎 悠太
子供の頃から漫画やテレビが好きだった。大人になってもその嗜好はあまり変わらず、最近はスマホに大量にストックされた電子書籍や配信されるドラマなどを、スキマ時間を見つけては少しずつ鑑賞している。
職業柄、というべきか、医療系の作品はついつい気になってしまうのだが、こういった作品ではしばしば“妙手回春”の外科医が主人公となる。ブラックジャック、司馬江太郎、朝田龍太郎、大門未知子、渡海征司郎、、、いずれも孤高の天才外科医であり、どんな困難な症例であっても華麗に手術を成功させ、物語を大いに盛り上げてくれる。
そんな彼らに共通しているのは、皆さん総じて口や態度があまりよろしくない点である。もうちょっと言い方ってもんがあるだろうに、と凡人の私はいつも思う。
しかし彼らは患者を必ず救おうという熱く秘めた想いと、それを可能にする卓越した技術を持っているのだ。だからこそ彼らは単なる嫌な奴にはならず、患者さんやその家族、あるいは(一部の)仲間から絶大な信頼を得るのであろう。
さて、振り返って自分はどうだろうか。当然天才ではないし、性格的に孤高というのもまあ無理だろう。しかしその分、人とのつながりは大事にしているつもりだ。“妙手回春”への道のりは果てしないが、それでも目の前の患者さんを救う、という情熱だけは彼らに負けないよう、今日も努力を続けていきたい。

大学時代。後列左から3番目が筆者
妙手回春(みょうしゅかいしゅん)とは
手を触れれば春になるかのような、凄腕の医師、また敏腕の医師により病気が良くなること。順天堂の3代目堂主であった佐藤進先生は、1895年の日清戦争中に狙撃された清国全権大使の李鴻章の治療にあたり、これを見事に快復させました。和親条約を締結後、李鴻章は扁額「妙手回春」を佐藤進先生に贈りました。そのレプリカは当院の1号館2階初診受付前にも飾られています |
【第30回】上野 泰康(呼吸器外科)
第30回
呼吸器外科
上野 泰康
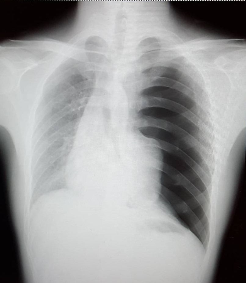
2017年6月19日、私は順天堂本院に在籍し働いていたが、緊急入院し、緊急手術を受けた。医師になって8年目、呼吸器外科学講座に入局して6年目のことである。気胸といって肺に穴が開き、肺が虚脱してしまう(萎んでしまう)病気で、その中でも、若年でも命に係わることがある緊張性気胸という一番重度の状態であった。
胸腔ドレーン(脱気をするための管)を挿入し、そのまま緊急入院となり、翌日鈴木教授(現呼吸器外科学講座教授)に緊急手術をして頂いた。多床室に入院となり、手術翌日には部屋がないから、と半ば追い出されるような形で退院となり、一食も食べずに二泊三日の入院生活を終えた。
気胸は苦しい、呼吸器の術後は呼吸によってコポコポと変な音がする、手術の傷よりも胸腔ドレーンが痛みの原因になる、これらは私が患者になって初めて実感できた事柄である。以後、呼吸器外科医として、より患者さんの声に耳を傾ける姿勢が身についたように思う。また、当時は随分ぞんざいな扱いに感じたが、今となって考えてみれば鈴木教授をはじめ医局の先生方、麻酔科、看護部の方々に緊急入院、緊急手術と、無い部屋、無い手術枠を調整していただき、この場を借りて改めて感謝を申し上げたい。
『妙手回春』と聞いて真っ先に思い浮かぶのが順天堂という存在である。順天堂は本院から分院に至るまで、非常に忙しい。有難いことだが日本全国遠方からはるばる来院される患者さんが多数いる。私の緊急入院の際もそうであったが、それぞれの職種、立場のスタッフがそれぞれの役割を全うしており、順天堂という組織全体として、その存在が患者さんにとって『妙手回春』足り得ているのではないだろうか。患者となった経験を生かしつつ、順天堂人の誇りを持って、これからも邁進していきたい。
入院当時の私のレントゲン写真
初めて娘に『介助歩行』してもらいました| 妙手回春(みょうしゅかいしゅん)とは
手を触れれば春になるかのような、凄腕の医師、また敏腕の医師により病気が良くなること。順天堂の3代目堂主であった佐藤進先生は、1895年の日清戦争中に狙撃された清国全権大使の李鴻章の治療にあたり、これを見事に快復させました。和親条約を締結後、李鴻章は扁額「妙手回春」を佐藤進先生に贈りました。そのレプリカは当院の1号館2階初診受付前にも飾られています |
【第29回】中原 万里子(産科婦人科)
第29回
産科婦人科
中原 万里子
私は公務員の家庭に育ったこともあり、医師を目指したのは非常に遅く、高校3年生の秋頃だ。それまでは、秋の運動会に向けての活動で学業をおろそかにしており、親からも何も言われず、ビジョンもないまま、目の前のことを一生懸命やって過ごしていた。現在の初期研修医のローテーション制度のように、将来何になるかわからないからなんでもやる、という状況だった。好奇心が邪魔されることなくここまで来たことが、産婦人科を選択した理由の一つかもしれない。摘出が困難と思われる腫瘍にも立ち向かえるのは、人生経験が影響しているように思う。
質の高い手術を患者さんに提供するには、チーム医療が不可欠である。私自身、部活動など様々な場面で、良いチームについて追求してきたし、医師となった今も考え続けている。妙手回春のように、外科医として現代の高度な医療を提供するためには、個人が技能を伸ばしていくことはもちろん重要だが、様々な協力者を得る必要がある。助手、手術室看護師、臨床工学技士、看護助手、器械洗浄のスタッフ、術前・術後管理に関わるスタッフ、自分の家族など・・、これらのスタッフが「自分」のことばかりではなく「患者さん」のために自分の仕事を丁寧に全うして初めて、手術が成功し、治療における根治性と安全性が確保される。そのため、我々外科医は、医師になる前に一人の人間としての人間性を高めておくべきであるし、私自身も精進していきたい。
まだ自宅にある20年前のバレーボール| 妙手回春(みょうしゅかいしゅん)とは
手を触れれば春になるかのような、凄腕の医師、また敏腕の医師により病気が良くなること。順天堂の3代目堂主であった佐藤進先生は、1895年の日清戦争中に狙撃された清国全権大使の李鴻章の治療にあたり、これを見事に快復させました。和親条約を締結後、李鴻章は扁額「妙手回春」を佐藤進先生に贈りました。そのレプリカは当院の1号館2階初診受付前にも飾られています |
【第28回】河野 眞吾(総合外科)
第28回
総合外科
河野 眞吾
外科医というと、なんだか“手先が器用な職人”というイメージがあるかもしれない。実際、私も若いころは「早く上手に切れるようになりたい」と、そればかり考えていた。毎晩、手術動画を見ては動きをまねし、深夜の解剖室で練習を重ねた。患者さんを救う“妙手”は、努力と経験の先にあると思っていた。
そんなある日、手術を終えた患者さんに言われた。「先生の声が一番効いたわ」。
……え? メスじゃなくて声?
なんとも肩すかしを食らったような気分だったが、正直うれしかった。
それからは、手術前の説明にも時間をかけるようになり、術後はベッドサイドで世間話をすることも増えた。医者の仕事は「切ること」だけじゃない。むしろ「心をほどくこと」のほうが、患者さんには大事なのかもしれない。
そんなことを思いながら、リレーエッセイの順番が回ってきた今回。正直、何を書こうか頭を抱えていた。
そこで、ふと試しにAIに相談してみた。「妙手回春」というタイトルに合うエピソードをお願いすると――出てきたのが、まさに今、あなたが読んでいるこの文章だ。
……すごい。うまい。なんかちょっと悔しい。
気がつけば“妙手”を決めたのは、私ではなくAIだった。患者さんだけでなく、私まで回春させられた気分である。
最近の医療現場では、画像診断や手術支援など、AIがどんどん活躍の場を広げている。「人間の医者って、いらなくなるんじゃ?」という声も、ちらほら耳にする。でも私は、人が人を治す場面には、まだまだ“人間にしかできないこと”があると信じている。
AIには手術の腕はあっても、患者さんの不安を見抜く目や、ふとした沈黙を和ませる笑顔は、まだない。
だからこそ私は、これからも“手”と“心”を両方磨き続けたい。AIと張り合うつもりはない。でも負けるつもりもない。

生成AIが作成した筆者
| 妙手回春(みょうしゅかいしゅん)とは
手を触れれば春になるかのような、凄腕の医師、また敏腕の医師により病気が良くなること。順天堂の3代目堂主であった佐藤進先生は、1895年の日清戦争中に狙撃された清国全権大使の李鴻章の治療にあたり、これを見事に快復させました。和親条約を締結後、李鴻章は扁額「妙手回春」を佐藤進先生に贈りました。そのレプリカは当院の1号館2階初診受付前にも飾られています |
【第27回】野沢 雅彦(整形外科・スポーツ診療科)
第27回
整形外科・スポーツ診療科
野沢 雅彦
私自身には医業を継がなければならないというようなことはなく、職業を選択する自由が与えられていました。学生時代に将来をどうしていくのか考えた時、当時、漠然と医師という仕事に自分で道を切り開いて自分の考え方で進めていけるというようなイメージを抱き、医学部を目指しました。
整形外科を選択しようと思った時期は、医学部6年生の夏だったと思います。市中病院での見学実習に参加したのですが、整形外科の医師が救急診療の中で交通外傷の患者さんなどに対して機敏に対応されている姿に感化され、整形外科の医師になろうと思いました。入職後、順天堂医院で股関節を専門にしている先生に師事する形で股関節の手術を数多く見せてもらう経験をしました。そこから股関節を専門にして35年以上経ちました。
股関節に関する成人の疾患は変形性股関節症や大腿骨頭壊死、関節リウマチなどがありますが、若い方の股関節症では、骨切り術と呼ばれる手術や比較的高齢者の方では人工股関節置換術を行なっています。股関節の骨切り術は行なっている施設が少ないので、手術を受けに遠方からいらっしゃる方も多くなっています。
手術に関しては、患者さんと十分に時間をかけて相談を行い、色々な疑問が解消され、気持ちの整理が整ってから手術を行うようにしています。当院は開院して20年近くが経ちますが、多くの患者さんに受診していただいており、これからも安心で安全な医療を提供できるようにしたいと考えています。

手術室にて
| 妙手回春(みょうしゅかいしゅん)とは
手を触れれば春になるかのような、凄腕の医師、また敏腕の医師により病気が良くなること。順天堂の3代目堂主であった佐藤進先生は、1895年の日清戦争中に狙撃された清国全権大使の李鴻章の治療にあたり、これを見事に快復させました。和親条約を締結後、李鴻章は扁額「妙手回春」を佐藤進先生に贈りました。そのレプリカは当院の1号館2階初診受付前にも飾られています |
【第26回】木村 聖美(乳腺外科)
第26回
乳腺外科
木村 聖美
私が10代のある時期に、人間はなぜ生まれてくるのか、「生」と「死」の意味が頭から離れなくなった時期がありました。担任の先生に聞いたところ一人ひとりの進化の連続が、人類の進化につながると教えられ、その時人のためになる事をしたいと思いました。その頃大好きだったブラック・ジャックの様な医師になろうと決心しました。医学部に進学し、学部生の時に父を直腸癌で亡くしたことをきっかけに、癌の治療をする乳腺外科医になりました。
癌は死と直面させられる病気です。乳癌は女性が罹る癌で最も多い癌ですが、一方、他と比べて治る方も多く、再発したとしても長く付き合っていける可能性のある癌でもあります。私はこれまで、乳癌を経験して、専業主婦になって久しいが働き始めた保健師さんや、大手企業で働いていたけど、辞めて本当にやりたかったフェアトレード ※ の仕事を始めた方、お母様の病気を通してお子さんが医師になられた方など多くの方とお会いしてきました。
私は患者さんが癌=死に直面して、本当に自分のやりたいこと、なりたい自分・人生を再考して、より充実した人生を送れるサポートをしたいと思っています。以前ある人が、「ひとは仕事をするために生きているのではない。しかし、仕事を通して成長するのだ」、と仰っているのを聞いたことがあります。今の自分があるのは、これまでご縁を頂いた恩師、先輩、同僚、後輩、コメディカル、患者さん達のおかげと感謝致しています。
※フェアトレード・・・開発途上国の原料や製品を適正な価格で継続的に購入することにより、立場の弱い開発途上国の生産者や労働者の生活改善と自立を目指す「貿易のしくみ」をいいます。

今帰仁村(神々しい)沖縄本島北部のパワ―スポット、大石林山(だいせきりんざん)にて。著者お気に入りの写真です。
| 妙手回春(みょうしゅかいしゅん)とは
手を触れれば春になるかのような、凄腕の医師、また敏腕の医師により病気が良くなること。順天堂の3代目堂主であった佐藤進先生は、1895年の日清戦争中に狙撃された清国全権大使の李鴻章の治療にあたり、これを見事に快復させました。和親条約を締結後、李鴻章は扁額「妙手回春」を佐藤進先生に贈りました。そのレプリカは当院の1号館2階初診受付前にも飾られています。 |
【第25回】前屋舖 龍男(呼吸器外科)
第25回
呼吸器外科
前屋舖 龍男
スイスのチューリッヒに3年弱、 留学する機会をいただいた。基礎研究がメインであったが、 とにかく行ってみたいと無給で飛び込んでいった。与えられたテーマは手術用顕微鏡を用いて25g程度のマウスの肺移植をすることで、 なかなかできる人がいないという難手技の1つだった。動物実験もやったことがなく、 難手技かどうかすら分かってなかったのが良かったのかもしれないが、 「そこで生きていくためには、 与えられた仕事を全うする」と言い聞かせ、 土日も休まず毎日実験室に籠る日々。無給だった私は、毎週土曜は郊外の安いスーパーに買い出しに行かなければならず、
実験の開始が遅れるのがお決まりだったが、ちょうど秋の土曜の夜に初めて成功した。
誰もいない実験室で雄たけびを上げ、 上司にも報告した。週末夜だったがメールで一報したらすぐに返事が。「今まで成功してきた教え子は、 自分もだけどみんな週末か夜中に成功してきたからね。この時間になると思ってたよ。」ワークライフバランス先進国だと思っていた欧米でも、 何かを得るために見えないところで時間を使って努力しているんだなと妙に納得したことを覚えている。
イチロー選手が言った「無駄は無駄じゃない。効率的と言われる世の中で非効率的に生きないと、何が効率的かわからない」というメッセージも思い出される。働き方改革が叫ばれる中、 ココロとカラダの健康を保ちながら、持続可能なちょっとだけ”無駄な”時間を作ることを忘れずにこれからも研鑽を重ねていきたい。

翌朝デスクに置かれていたお祝いのメッセージとパン
| 妙手回春(みょうしゅかいしゅん)とは
手を触れれば春になるかのような、凄腕の医師、また敏腕の医師により病気が良くなること。順天堂の3代目堂主であった佐藤進先生は、1895年の日清戦争中に狙撃された清国全権大使の李鴻章の治療にあたり、これを見事に快復させました。和親条約を締結後、李鴻章は扁額「妙手回春」を佐藤進先生に贈りました。そのレプリカは当院の1号館2階初診受付前にも飾られています。 |
【第24回】諸橋 達(整形外科・スポーツ診療科)
第24回
整形外科・スポーツ診療科
諸橋 達
現代の診療科はより細分化されているが、整形外科の場合も例外ではなく、脊椎・股関節・膝関節・手・肩・足等の身体のパーツで分類する場合もあれば、スポーツ・外傷・小児・リウマチ・骨軟部腫瘍・骨粗鬆症・リハビリ等のパーツを越えて対象となる患者特性での区分けがなされる場合もある。複数の専門を持つ医師も多いが、「膝×スポーツ」や、「手×リウマチ」等のようにそれぞれを縦軸と横軸のように複数を跨ぐ場合が多い。だから私の場合は少し変わった感じなのかもしれない。
研修医時代から慣れ親しんだ「外傷」は、その後長年にわたり外傷病院とも言える静岡病院に勤務していたため逃れることが出来ず今も続けている。同じく静岡病院に勤務し始めた頃の教授と同じ専門として始めた「股関節」は今もメインで診療をしている。その後10年ほど時が経ち、その地域で他にやっている医師が少なく興味もあったために当時の上司(メンター※のような存在)に「コレも専門にしたいです」と言ったら2秒で「良いんじゃない?」と御返事を頂いたことから始めた「足の外科」も興味深く続けている。
外傷を一つの軸にしている医師は多いが、足と股関節の両方を専門にしている医師はあまり見かけない。学術的な事を追求するのであればおそらくひとつの分野を深く追求する方が効率も良く成果を上げやすいのかもしれないが、臨床、特に外科医としては複数の分野にまたがっている事がメリットになっているような気がしなくもない。多くの手技に触れることでスキルアップにつながる様な気がするし、新たな発想の源になる場合も少なくないので、これはこれで悪くはないと思っている。私の場合はメリットがあるという理由だけではなく、これまで培ってきたスキルを捨ててしまうのが「もったいない」といった断捨離出来ない性格に原因があるのかもしれない。しかし特に最近困るのは「お前は一体どっちがメインなんだ?」といったコウモリを見るかのような視線を感じることがあることである。先日もとある著名な先生とお食事をする機会があり、自分の専門分野を記した名刺をお渡ししたところ「僕の分野の方が下に書いてあるんだね?」と一瞬空気が凍り付いてしまったので、現在では専門分野の順番を入れ替えてある2種類の名刺を持ち、状況に応じて使い分けている。ちなみにその名刺の一番下には「総合格闘技RIZINリングドクター」と書いてあり、いつも話のネタになっている。やはり多くの整形外科医はスポーツや格闘技が大好きなようだ。
※直訳すると指導者や助言者のことですが、ご自分が手本となって若手に助言やサポートをしてくれる人のことです。
総合格闘技をしていた25年位前の写真。総合格闘技も「打」「投」「極」と、複数のスキルを融合させる事が必要な競技である。
リングドクターをやったときに御一緒した「Yes!」でおなじみの先生と
【第23回】林 豊(小児外科)
第23回
小児外科
林 豊
パソコンの画面で温度板を見て、医局員と方針を決めてから患者さんに会いに行くよりも、まずは患者さんに会いに行き、患者さんの顔や創部を見て、看護師さんに状況を聞いて、それから温度板やデータを確認するというスタイルの方が好きだ。なぜ、そのスタイルが好きなのかというのを自分でもきちんと理解できているわけではないが、疾患が好きなのではなく患者さんに会うのが好きなのであり、まず自分で診て、聴いて、触ってという作業が重要だと考えているからだと思っている。
私には忘れられない光景がある。
医師免許を取得し順天堂医院の外科研修医となって初めて回った診療科は小児外科であった。そこにラグビー部の先輩である故 采元 啓先生がいらっしゃった。学生時代から尊敬する先輩であり、小児外科に入局した理由の一つでもある。采さんは朝カンファが終わるとNICUにずっと篭って新生児を診ていた。ある日、采さんに「いつもNICUにいますね」と声を掛けた。すると采さんはNICUの真ん中にあるテーブルにもたれ、クベース内の新生児をじっと見ながら、「俺はこの患者を助けたいんだよ」と一言だけ答えてくれた。それ以上、何もおっしゃらず、何も聞けなかった。ブドウ球菌性熱傷様皮膚症候群(SSSS)を患った新生児で状態は芳しくない。診ているからといって良くなるものでもない。しかし悪くなる兆しを見逃したくないという気持ちで闘っていらっしゃったのだと思う。 困難な症例、状態が芳しくない患者さんがいるときに、25年近く経った今でもその光景を思い出し自分の中で問いかける。「采さんならどうするだろうか?」。外科医はその腕で患者さんを助けるのが生業であり、チームで技術を磨くことは非常に重要である。しかし、どんなにテクノロジーが進んでも「まずは患者を診る」ことこそが医師として最も重要なスキルだと信じ診療にあたっている。
私はこどもたちの笑顔が大好きだ。
画大学一年生時。ラグビー部フォワードチームでの集合写真(前列、左から2番名の青ジャージが筆者。後列、右から3番目が采元啓先生)
【第22回】坂本 善郎(泌尿器科)
第22回
泌尿器科・特任教授
坂本 善郎
はじめに『気』についてお話します。私は学生時代、剣道部(二段)に在籍し「礼」について学びました。これに飽き足らず、50歳から5年間は塩田剛三先生(故人)の養神館で合気道(初段)を稽古し、その後10年間は西野皓三先生(故人)の西野流呼吸法を学びました。空手・居合い・合気道師範の宇城憲治先生の体験講習会にも10回参加しました。3人の先生は皆『気』の達人です。ここでは宇城塾の体験講習会(約60人参加)のエピソードを紹介します。
宇城先生は参加者全員に一気に『気』を入れることができます。中学3年の女の子が『気』を入れられた後に、83kgの宇城先生が仰向けの女の子のお腹の上に乗っかり立ちましたが、女の子は平気な顔をしていました。この時私はまだ半信半疑でしたが、今度は『気』を入れられた私の胸部を宇城先生が竹刀で思いきり叩きました。私は全く痛みを感じず赤くもなっていませんでした。こんな話をすると「またまたそんなこと・・・」と思われるでしょうが、すべて本当の体験です。宇城先生によると、人は潜在的に『気』を出す能力を持っているが、出し方を知らないでいる。そして『気』を出せるようになるには「優しい心を持ち、他を思いやり、礼を重んじる」ことに尽きると。
そこで『妙手回春』。順天堂の3代目堂主であった佐藤 進先生は治療室に入っただけで、患者は快方に向かい、手で触れてさらに良くなったのではないだろうか。これは技術・技量を超えた『気』のなせる技ではないか、と思い至りました。私も日々感謝の念を持ち、『Ki-Doctor』を目指して精進していきたいと思っています。
故 北川名誉教授と汗止めをして手術に臨む 筆者(中央)
| 妙手回春 (みょうしゅかいしゅん)とは
手を触れれば春になるかのような、凄腕の医師、また敏腕の医師により病気が良くなること。順天堂の3代目堂主であった佐藤進先生は、1895年の日清戦争中に狙撃された清国全権大使の李鴻章の治療にあたり、これを見事に快復させました。和親条約を締結後、李鴻章は扁額「妙手回春」を佐藤進先生に贈りました。そのレプリカは当院の1号館2階初診受付前にも飾られています。 |
【第21回】横山 利幸(眼科)
第21回
眼科・特任教授
横山 利幸
順天堂小児眼科のチーフを長くされていた加藤先生の定年が近づいたころ、病棟医長で手術ばかりをしていた私は、小児眼科に配属され加藤先生の引退後はチーフを務中には失明したり、手術がうまくいっても視力が出ない場合もあります。失明すると斜視や角膜混濁など整容的にも問題となる場合があります。小児期は視機能の発達期ですので、長期にみないと結果はわかりません。いつの間にか来なくなる子もいますが、長期に通ってきてくれる子もいます。練馬病院に移ってからも私の診察を受けに来てくれる子がいました。
長い間診療していると、小さな女の子がいつのまにか派手な化粧や服装で来るようになったり、苗字がかわったり、特に遺伝性の疾患では子供を連れてきてくれるようになります。今は複数の親子を患者さんとして診ていますし、親子3代で通ってきてくれる患者さんもいます。片眼失明し角膜混濁をおこしている、通常だったら見た目を気にする年齢の患者さんが気にせずに大学に入学し、ハンデがあっても負けずに就職する人もいます。
順天堂大学医学部入試の面接官をさせていただいたときのことです。その日の総括のとき、私は眼科の志望をもった受験生がいなかったことを嘆いたのですが、すると理事長から「一人、優秀な男の子がいて、その子が志望の動機として、私のことを言ってくれた」とのお話がありました。子供のころに私が斜視の手術をおこなった子でした。私のことは「もういないと思うが、私の診療を受けたことが志望の動機になった」と言ってくれたとのこと。理事長は「彼はまだいるし、別の部屋で面接官をしている」とお話しされたとのことでした。
この時、他の面接官の先生方から大きな拍手をいただきました。言葉にならないくらいうれしかったです。
加藤先生(右)と小児眼科専門医の矢沢先生(中)と筆者(左)
| 妙手回春 (みょうしゅかいしゅん)とは 手を触れれば春になるかのような、凄腕の医師、また敏腕の医師により病気が良くなること。順天堂の3代目堂主であった佐藤進先生は、1895年の日清戦争中に狙撃された清国全権大使の李鴻章の治療にあたり、これを見事に快復させました。和親条約を締結後、李鴻章は扁額「妙手回春」を佐藤進先生に贈りました。そのレプリカは当院の1号館2階初診受付前にも飾られています。 |
【第20回】嶋田 晶江(心臓血管外科)
第20回
心臓血管外科
嶋田 晶江
『●●さん、ぶどうパン食べたいって言ってるよ』病棟回診を終え、病棟看護師とナースステーションで話をしていた私達担当医に、教授はそう言って去っ私は研修医の頃から、教授の外来診察や手術前後の説明、病棟回診などに陪席してきた。心臓血管外科の外来を初めて受診される患者さんの多くは、診察室に入るときにとても緊張し、顔はこわばり表情も硬くなっている。しかし、教授の診察を終えて診察室を出るときには、患者さんもご家族も不思議と安堵した表情を浮かべていた。
診察では病気や治療の話はもちろんだが、仕事のことや趣味のこと、自宅周辺のことなど多岐にわたって話をされていた。そんな中で自然と患者さんとの距離を縮めていたのだ。話の内容が多彩であり、一緒に聞いている私も聞き入ってしまうほどであった。『神の手』を持つ天才外科医は、コミュニケーション能力にも長けていた。外科医として、手術の手技以外にも沢山のことを学ばせてもらったものである。
手術は外科医の技術だけでは成立せず、外科医を含む医療従事者と患者さんが一緒に手術に立ち向かう関係性が重要である。日々技術を修練するだけではなく、これまで患者さんと経験させていただいたコミュニケーションを活かして今後の診療に精進していきたい。
天野篤 順天堂大学特任教授(左)と筆者(右)
| 妙手回春 (みょうしゅかいしゅん)とは
手を触れれば春になるかのような、凄腕の医師、また敏腕の医師により病気が良くなること。順天堂の3代目堂主であった佐藤進先生は、1895年の日清戦争中に狙撃された清国全権大使の李鴻章の治療にあたり、これを見事に快復させました。和親条約を締結後、李鴻章は扁額「妙手回春」を佐藤進先生に贈りました。そのレプリカは当院の1号館2階初診受付前にも飾られています。 |
【第19回】田中 奈々(小児外科)
第19回
小児外科
田中 奈々
先天性横隔膜ヘルニアという病気がある。先天的に横隔膜に穴が開いていて、腹腔内臓器が胸腔内に入り込むことによって胎児期に肺が十分に成熟できないため、
生後手術で腹腔内に脱出臓器を戻し穴を閉じても、肺の問題が残る。
昨今の周産期医療の発達により新生児外科疾患は救えるようになったが、いまだ救命率が最も低い疾患のひとつだ。小児外科入局1年目に救命できなかった重症な横隔膜ヘルニアを経験した。家にも帰らずNICUにべた付きになった管理(当時はこの疾患の担当になったら当たり前の事だった)も報われず、自分の無力さを痛感した。そのベビーの顔と両親の表情を今でも覚えている。
その後、偶然も重なりアイルランドへ留学し横隔膜ヘルニアの病因について研究することとなった。留学先のボスは小児外科医として日々の診療、夜間の新生児の緊急手術もしながら、その他の時間をすべて研究に充てており、いつ食べていつ寝ているのか?と思わせるようなひとだった。そして世界の多くの小児外科疾患の基礎研究が、臨床もしている小児外科医の手によってなされていることを知った。
小児外科の分野はまだ歴史が浅く、その疾患を扱う母集団が少ない事も関連していると推測する。小児外科疾患の多くが先天的であり、発生学と病因・病態が密に関連している。臨床現場を知らない研究者ではなく、その疾患の患者や家族の顔、手術所見、術後経過が脳裏にある外科医が研究することに意味があると思いながら、現在わたしは腸管神経の先天疾患であるヒルシュスプルング病の研究を続けている。日々の診療からなぜこうなるのか?どうしたらよくなるのか?という気持ちをもち、外科医として自分の腕を磨くと同時に探求心と向上心を忘れないphysician scientist でありたいと思う。
| 妙手回春 (みょうしゅかいしゅん)とは
手を触れれば春になるかのような、凄腕の医師、また敏腕の医師により病気が良くなること。順天堂の3代目堂主であった佐藤進先生は、1895年の日清戦争中に狙撃された清国全権大使の李鴻章の治療にあたり、これを見事に快復させました。和親条約を締結後、李鴻章は扁額「妙手回春」を佐藤進先生に贈りました。そのレプリカは当院の1号館2階初診受付前にも飾られています。 |
【第18回】北村 香介(泌尿器科)
第18回
泌尿器科
北村 香介
私の医師として勤務が始まったのは、臨床研修医制度の開始直後でした。制度の変化に対する不安や、泌尿器科としての研修が遅れ手術経験に差がつくことへの焦りを感じ
ていました。当時は手術の経験を少しでもできるようにと、手術室に足を運び当直を進んで担当し休みをとらずに働いていました(今は働き方改革で推奨されません)。
当時の開腹手術では泌尿器科で扱う臓器のほとんどは術者以外には見えませんでした(前立腺や膀胱・腎臓は体の奥深くにあるため)。助手として参加した際には、筋鈎を引きながら何をしているか見たくて覗き込んでは「邪魔だ!」と先輩術者に叱られるような時代でした。
自分が術者として執刀するようになってからは、手術書の知識と先輩の所作を思い出し懸命に手術をおこない、少しずつ上達することを感じていました。技術が発展し手術の中心が開腹から腹腔鏡になると術中も術後も手術動画を共有できるようになり、手術の予習復習が簡単になりました。腹腔鏡手術技術認定を取得した今では、ほとんどの手術を腹腔鏡でおこなっています。ロボット支援手術の登場や動画デバイスの発展により、You Tubeでも手術動画を見ることでき学会では生の手術を見ることもあります。
時代とともに手術を学ぶ方法は変わりましたが、技術を習得するための気持ちや努力は変わらないものだと思います。「妙手回春」、この言葉に込められるような医師になるため今後も学ぶ姿勢を崩さず、不断前進の思いで日々精進したいと思っています。
研修医当時の筆者
| 妙手回春 (みょうしゅかいしゅん)とは
手を触れれば春になるかのような、凄腕の医師、また敏腕の医師により病気が良くなること。順天堂の3代目堂主であった佐藤進先生は、1895年の日清戦争中に狙撃された清国全権大使の李鴻章の治療にあたり、これを見事に快復させました。和親条約を締結後、李鴻章は扁額「妙手回春」を佐藤進先生に贈りました。そのレプリカは当院の1号館2階初診受付前にも飾られています。 |
【第17回】坂本 優子(整形外科・スポーツ診療科)
第17回
整形外科・スポーツ診療科
坂本 優子
妙手回春と聞いて思い出す、私の基礎を作ってくださったメンター、千葉県こども病院の西須孝先生を紹介したい。心に残る名言がいくつかある。手足が変形した先天性疾患の赤ちゃん
を抱いて不安そうな両親への言葉だ。
「大丈夫、病気の心配は僕らがするから、お父さんとお母さんは、この子の前では、病気のことなんて笑い飛ばせるようにならなきゃだめだよ。こんな風に生まれてどうしようってご両親が思っていたら、家族全員が下向いちゃうから。手のことや足のことを気兼ねなく話題にして、この子と笑顔で話せるようにね。」「この子は、何度も何度も手術が必要かもしれません。でも、僕らは諦めないからね。一緒に頑張りましょう。」「不都合な症状が出る遺伝子は、良い遺伝子と結びついているから、脈々と残っていると思うんですよ。この病気の方は皆さんとてもいい人だし、器量もいいから。」(注:遺伝子を良い、悪いと判断するのは正しいことではありませんし、器量の良し悪しも個人の感想なので、器量の良くなる遺伝子、というのも正しくはありませんが)。
そんな熱い心の西須先生は、手術前にマーキングの代わりに患児の好きなキャラクターを描く。私もそれに倣い、今でも毎回、手術が成功するよう、心を込めて描く。師匠もこんな気持ちで描いているんだなと、思いを馳せながら。
西須先生のリラックマ(左)と筆者のゲッコウガ(右)
| 妙手回春 (みょうしゅかいしゅん)とは
手を触れれば春になるかのような、凄腕の医師、また敏腕の医師により病気が良くなること。順天堂の3代目堂主であった佐藤進先生は、1895年の日清戦争中に狙撃された清国全権大使の李鴻章の治療にあたり、これを見事に快復させました。和親条約を締結後、李鴻章は扁額「妙手回春」を佐藤進先生に贈りました。そのレプリカは当院の1号館2階初診受付前にも飾られています。 |
【第16回】野呂 拓史(総合外科・消化器外科)
第16回
総合外科・消化器外科
野呂 拓史
キリスト教系の幼稚園に通っていたことは関係あるのだろうか。子供の頃から生と死について考えさせられることが多かったような気がする。親兄弟はじめ親しい人間が死ぬことを想像した。

現在の生活習慣病が、まだ成人病と呼ばれていた時代で、日本人の死因として多かった血管系のイベントは、予防またはリスクを下げることができると親に聞かされて安心した。一方で、原因がよくわからず予防できない“がん”がとても怖かった。がんを治す医者になろうと考えたが、いつの間にかその志は薄れた。

1980年代から始まったいわゆるバブルの時代。高校では硬式庭球部であったため、大学進学、体育会から一流企業に就職して安泰といったストーリーをうっすら考えていた。
それでも初心?を思い返し、理系に転向して医学部に入学したが、最初はスポーツ医学に興味が向いた。
臨床実習の時に出会った外科医の強いバイタリティに惹かれて外科医となることを決意した。癌の治療が自分の本意であることを再認識し、消化器癌では一番難敵である肝胆膵の癌を専門とした。
人間の欲求に関する理論であるマズローの欲求5段階説で、最高次の欲求は自己実現の欲求だという。今と比べると体育会的な理不尽さも色濃く残り、時間の拘束も厳しかったが、その欲求に素直に従った結果が今の自分である。
これから医師を志す方、若い医師には、是非自己実現の欲求に従って将来のキャリアを考えて頂ければ幸いである。
筆者 医学部6年生次(前列右)
| 妙手回春 (みょうしゅかいしゅん)とは
手を触れれば春になるかのような、凄腕の医師、また敏腕の医師により病気が良くなること。順天堂の3代目堂主であった佐藤進先生は、1895年の日清戦争中に狙撃された清国全権大使の李鴻章の治療にあたり、これを見事に快復させました。和親条約を締結後、李鴻章は扁額「妙手回春」を佐藤進先生に贈りました。そのレプリカは当院の1号館2階初診受付前にも飾られています。 |
【第15回】徳川 城治(脳神経外科)
第15回
脳神経外科
徳川 城治
「妙手回春」
この言葉を聞いて真っ先に思い浮かべるのは私の手術の師、北海道の上山博康先生。

この人無くしては現在の脳血管手術の進歩は語れない。さらには多くの弟子たちが教えを受け継いで活躍している。
師は若い頃、この誌面では紹介できないような日々を送って手術の鍛錬を重ねた。
脳神経外科の先達の多くは同じようであったと聞く。時代が違うと言えばそれまでだが、脳外科医としての覚悟もまた違ったのであろう。
師のところには「最後の砦」として全国から患者が集まった。
世間は師を「神の手」と褒めそやしたが、師は「神の手」と呼ばれることを嫌った。
この技術は天から授かったものではない、努力して得たものだ、という自負。「匠の手」である。
天才と呼ばれる人こそ実は人一倍努力をしているという好例だ。
自分も努力をした自負はあるが、師の弟子達の末席を汚すのが精一杯。
私は天才とはほど遠い、平凡な脳神経外科医だ。だが外科の世界は平凡でも生きていける。
天才にしかできない手術で救える命は多くはない。
一般的な手術でも高いレベルでこなすことは実はとても難しい。
「嗜(たしな)みの武辺は生まれながらの武辺に勝れり」-織田信長の言葉と伝わる。
天才から凡才へのエールと勝手に解釈している。
師の背中を追う道に終わりはない。

上山博康先生(左)と
| 妙手回春 (みょうしゅかいしゅん)とは
手を触れれば春になるかのような、凄腕の医師、また敏腕の医師により病気が良くなること。順天堂の3代目堂主であった佐藤進先生は、1895年の日清戦争中に狙撃された清国全権大使の李鴻章の治療にあたり、これを見事に快復させました。和親条約を締結後、李鴻章は扁額「妙手回春」を佐藤進先生に贈りました。そのレプリカは当院の1号館2階初診受付前にも飾られています。 |
【第14回】有冨 健太郎(整形外科・スポーツ診療科)
第14回
整形外科・スポーツ診療科
有冨 健太郎
私は整形外科医であり、その中でも主に手の病気を中心に診療を行っています。表題である「妙手回春」にも使われている手について感じていることを述べたいと思職業柄、すぐに何でも手を見てしまいます。動物園に行ってもサル、ゴリラ、オラウータンやチンパンジーなどの人間に近い動物を見つけると、その手の動きを見ているだけでゾウ、ライオンやトラを見ているより楽しいです。手は動物の進化の過程で生まれてきました。ご存じのように四足歩行から二足歩行になり、前足が手になりました。その中でも人間の手は、人間に近いとされる類人猿(ゴリラ、オラウータンやチンパンジーなど)とも違いがあります。人間の手の最大の特徴は、親指が長く繊細に動くことであり、類人猿より親指を使って上手に物をつまめることです。片手でスマホを使えるのは、人間の特権でしょう。
手は握る、つまむといった機能だけでなく、他の役割も果たしています。1つはセンサーの役割です。五感機能(視覚、聴覚、臭覚、味覚)の一つである触覚です。視覚障害がある場合は、それに変わる重要な役割を果たします。もう一つは表現の手段の役割です。手話や拍手などの例えがわかりやすいでしょう。
以上のように、人間の手には沢山の役割があります。それゆえ故障することもあるでしょう。そんなことを考えながら、毎日約30人の手を診療室で診ています。
ヒトの手
オラウータンの手| 妙手回春 (みょうしゅかいしゅん)とは
手を触れれば春になるかのような、凄腕の医師、また敏腕の医師により病気が良くなること。順天堂の3代目堂主であった佐藤進先生は、1895年の日清戦争中に狙撃された清国全権大使の李鴻章の治療にあたり、これを見事に快復させました。和親条約を締結後、李鴻章は扁額「妙手回春」を佐藤進先生に贈りました。そのレプリカは当院の1号館2階初診受付前にも飾られています。 |
【第13回】渡野邉 郁雄(総合外科・消化器外科)
第13回
総合外科・消化器外科
渡野邉 郁雄
中学生でパイロットになる夢を持った。当時民間航空会社に入るためには自衛隊に進むか航空大学校に進むかであることを調べ上げ、宮崎の航空大学校にアポなしで出向いた。正門から出てくる航空大学生にどうすれば入学できるか聞いて回った。高校2年になりパイロットになるには身長が足りないことを知った。勉学はお休みしバイトをやりまくって1人でインド旅行に。集めた17万円と片道の航空券のみで渡航した。晴天下のタージマハルを見上げてはじめて大泣きした。2週間の予定だったが見るもの全てが新鮮で結局40日間の滞在。帰国したときの両親はインドの闇市の徘徊より怖かったのを思い出す。
手塚治虫のブラックジャックの影響で医学の世界へ。病理医を目指していたが何を血迷ったか気付いたら外科医になっていた。回診準備、カンファ準備、手術、検体整理、レセプトに明け暮れた。ミャンマーやネパールで1年間ボランティア手術も行なった。そして時代は開腹から腹腔鏡へ。今やロボット手術の時代となり外科手術も大きく変化した。鏡の奥の自分も大分おっさんに様変わりした。
時代の変化に負けないハートを持ち続けたいものである。
| 妙手回春 (みょうしゅかいしゅん)とは 手を触れれば春になるかのような、凄腕の医師、また敏腕の医師により病気が良くなること。順天堂の3代目堂主であった佐藤進先生は、1895年の日清戦争中に狙撃された清国全権大使の李鴻章の治療にあたり、これを見事に快復させました。和親条約を締結後、李鴻章は扁額「妙手回春」を佐藤進先生に贈りました。そのレプリカは当院の1号館2階初診受付前にも飾られています。 |
【第12回】三橋 立(脳神経外科)
第12回
脳神経外科
三橋 立
脳血管内治療
脳神経外科入局時、動脈瘤治療は開頭クリッピング術のみでした。顕微鏡下、動脈瘤を見つけクリップをかける手術は、まさに脳外科医の仕事でした。やっとクリッピングの技術を身につけた頃、動脈瘤治療に血管内手術が有効であるという論文が発表されました。
これが一大転機となり、動脈瘤治療は血管内手術が最優先となりました。そのため、いち早く血管内手術を専門としていた先輩が『師匠』となり、治療が必要な患者さんが現れるたびに私の病院に駆けつけてくださいました。師匠は、ガイドワイヤーから火花が噴くと巷で噂されたカリスマで、私は、師匠から信頼される助手になるべく、緊急の場合も全ての手術に参加しました。
数年経過したところ、師匠が前触れもなく「半年後の血管内治療専門医試験を受けるか?」と言ってきました。当時の血管内治療専門医試験は合格率5割の難関で、頼りになる助手が目標であった私は、合格の自信は全くないものの、準備をして受験しました。手応えもなく帰宅した翌日に、師匠から電話が鳴り、「おまえは天才だよ!合格だよ!」後にも先にも、師匠から褒められたのは、その時だけです。
私の師匠は、最近開業されましたので、この先一緒に仕事をする機会はないかもしれません。先日手術のさなか、後ろから師匠に監督されている気分になりました。師匠ならどうやるか、どこまでやるか、どこで退くか。いつか師匠に褒めてもらえるよう、日々精進するのみです。
| 妙手回春 (みょうしゅかいしゅん)とは
手を触れれば春になるかのような、凄腕の医師、また敏腕の医師により病気が良くなること。順天堂の3代目堂主であった佐藤進先生は、1895年の日清戦争中に狙撃された清国全権大使の李鴻章の治療にあたり、これを見事に快復させました。和親条約を締結後、李鴻章は扁額「妙手回春」を佐藤進先生に贈りました。そのレプリカは当院の1号館2階初診受付前にも飾られています。 |
【第11回】内山 美津希(形成外科 科長・助手)
第11回
形成外科 科長・助手
内山 美津希
形成外科医の第一歩を踏み出した4月1日、さっそく一人で当直をしていた。何事もないことを祈りながら夜が明けるのを待っていたが、そうはいかないのが世の常である。
深夜、電話が鳴る。「先生、指を切断してしまった患者さんが来ます。」研修医の時は頼りになる上級医がいたが、もういない。焦る心とは裏腹に冷静な表情を作りながら、いままでの経験と座学で得た知識を総動員し、無事患者さんの指を再接着することができた。
『人にしてもらいたいと思うことは何でも、あなたがたも人にしなさい。』これは幼少期の頃から通った母校で繰り返し耳にしていた新約聖書のフレーズの一節で、今も折に触れては思い出す。
目の前の患者さんに向き合うとき、相手が本当は何を求めているのか、いつも思いを馳せる。相手が求めるものをすべて与えられるよう、自分の持てるすべての知識・医術を全力投球していく。震えながら処置にあたったあの日から、奥深くに根付くあのフレーズが私の原動力となっている。
目立たないキズとキレイな機能・カタチを求める人々の心の声に耳を傾けながら妙手回春を目指すべく、私は今日も形成外科医として全力投球で奮闘していく。

2017年アメリカ形成外科学会総会にて水野主任教授(右)と筆者(左)
| 妙手回春 (みょうしゅかいしゅん)とは
手を触れれば春になるかのような、凄腕の医師、また敏腕の医師により病気が良くなること。順天堂の3代目堂主であった佐藤進先生は、1895年の日清戦争中に狙撃された清国全権大使の李鴻章の治療にあたり、これを見事に快復させました。和親条約を締結後、李鴻章は扁額「妙手回春」を佐藤進先生に贈りました。そのレプリカは当院の1号館2階初診受付前にも飾られています。 |
【第10回】村上 郁(乳腺外科 科長・先任准教授)
第10回
乳腺外科 科長・先任准教授
村上 郁
高校生の時、阪神大震災を経験した。四国においても、その揺れは凄まじく、一瞬で眠りから覚めた。被災地の様子をニュースで目にした私は、現地でボランティア活動に参加したい!と父に訴えたが、賛同を得られず(後に謝罪されたが)、歯痒い思いでいた。しかし、全国から殺到したボランティアで混乱が生じ、受け付けてもらえない現状があった。そんな中、医師の参加は求められていた。当時の私は、「医師であれば誰かの役に立てたのかもしれない」と思った。
医学生時代、生きた臓器の美しさに魅了され、外科医になりたいと思った。激しい腹痛の原因についてCT画像を見ながら推測し、手術で腹腔内を観察するとその答えあわせができ、自分の技術をもって治療を施す。そんなところが魅力だった。乳腺外科医となった今、自分の目指すものは変わっただろうか。
医療職とは関係のない母に、「優しいお医者さんになって」と言われたことがある。これが、私が医師として働くうえでの軸となっている。がん患者は多くの不安と戦っている。診察への不安、検査への不安、手術への不安、家族への不安、抗がん剤への不安、再発への不安、予後への不安、終末期の不安、、、。その不安をなくすことはできないが、同じ方向を向くことはできる。私は、「自分が乳がんになったとき、頼りたい主治医」を目指している。妙手など、目指していない。今、同じような震災が起こったら、あの時の自分より少しはできることがあるだろうか。
「耕到天是勤勉哉」日々、研鑽を積む。
乳がんの権威 霞富士雄先生(右)と筆者(左)| 妙手回春(みょうしゅかいしゅん) とは
手を触れれば春になるかのような、凄腕の医師、また敏腕の医師により病気が良くなること。順天堂の3代目堂主であった佐藤進先生は、1895年の日清戦争中に狙撃された清国全権大使の李鴻章の治療にあたり、これを見事に快復させました。和親条約を締結後、李鴻章は扁額「妙手回春」を佐藤進先生に贈りました。そのレプリカは当院の1号館2階初診受付前にも飾られています。 |
【第9回】阪野 孝充(呼吸器外科 科長・助教)
第9回
呼吸器外科 科長・助教
阪野 孝充
手塚治虫先生の代表作ブラックジャック。文庫版で再出版された当時、河合塾で理系浪人だった私は夏休みに(浪人には無いはずなのだが)書店で1冊手に取ったらたちまちその世界観にはまり、貯金をはたいて全巻購入し読み耽った。無免許ながら誰もが認める天才的な手術手技を頼りに様々な患者たちがブラックジャックの手術を求めてやってくる。そして彼は手術を契機として患者を感化し、術後の人生にさまざまな形で関わっていく。時には動物や医療AI(50年前にAIの医療介入を予測していた手塚先生の慧眼)の手術までする。法外な報酬金を要求するのはあくまでヤクザな患者だけで、道義を感じれば10円で引き受けたりもする。そう、彼は私にとっての妙手回春の理想なのである。そんなブラックジャックに感化され夏休み?明けから医学部志望に変更し、紆余曲折を経て外科医として生きていくことになった。
呼吸器外科医として独り立ちしてもう10年以上になる。自分がトップとして執刀した症例も2,000例を超えた。技術はブラックジャックに到底及ばないが、彼は理想であり日々の研鑽の励みになっている。(私の師匠、鈴木健司は現世で一番ブラックジャックに近いと思う)。いくつになっても成長を感じられるのは外科医の特権だろう。
患者との関係性はどうだろうか。自分が手術した患者は全員、自分の外来で定期的に診察させて頂いているが、外来はいつも朝から夕方までぶっとおし、休憩もとれず正直体力的には手術よりきつい。しかし、自分が執刀した患者は遠い親戚より愛おしく、私にとってはpricelessの財産である。「先生の顔をみると安心する」、「先生、今日も握手」、とこんな私を妙手扱いしてくれる患者も歳を重ねるごとに増えてきた。一方で、いくつになっても外科医としては術後患者の経過が思わしくない時、憂鬱になる(手術は手術、術後は術後、で到底割り切れるものではない。)。そんな時、大勢の患者さん達との会話、言葉で私は救われ、再び外科医として前に進んでいく原動力を与えてもらっている。
妙手回春とは、患者だけでなく外科医も春を感じているのだとつくづく思う。気力体力の続く限り、外科医として世の中に貢献していきたい。
鈴木健司先生と 2014米国胸部外科学会にて 39歳
陸上自衛隊医官時代 29歳| 妙手回春(みょうしゅかいしゅん)
とは
手を触れれば春になるかのような、凄腕の医師、また敏腕の医師により病気が良くなること。順天堂の3代目堂主であった佐藤進先生は、1895年の日清戦争中に狙撃された清国全権大使の李鴻章の治療にあたり、これを見事に快復させました。和親条約を締結後、李鴻章は扁額「妙手回春」を佐藤進先生に贈りました。そのレプリカは当院の1号館2階初診受付前にも飾られています。 |
【第8回】荻島 大貴(産科・婦人科 科長・教授)
第8回
産科・婦人科 科長・教授
荻島 大貴
小学校5年生から日曜日が無くなった。中学受験の塾に通うためである。その週の課題を自己学習し、毎週日曜日の塾ではテストが行われ、それを解説するスタイルである。日曜日がない生活は苦痛であったが、唯一の楽しみは帰りに駅の売店で買う週刊少年漫画誌であった。当時はジャンプ、サンデー、マガジン、チャンピオン、キングと多彩であった。その中でも一番面白かったのが、少年チャンピオンの手塚治虫「ブラックジャック」と、キングの松本零士「銀河鉄道999」であった。
ブラックジャックはメスを使って病気を何でも治す外科医である。傲慢なお金持ちからは高額な治療費を取るが、善良な人からは取らないだけでなく、小鳥や犬猫までも治してしまう。当時はメスを使って何でも治してしまう姿に憧れていたが、医師になって30年余りが経ち身に沁みる章は「ときには真珠のように」である。この中でブラックジャックは老衰で倒れた恩師、本間丈太郎先生を助けることができなかった。彼にとって、本間先生は少年時期に爆弾でバラバラになった体をつなぎ治し、医師を志すきっかけを作った恩師である。ブラックジャックは全力で治療に挑むが、恩師の老衰には勝つことができなかった。最後のシーンで落ち込むブラックジャックに寄り添うように、聖霊となった本間先生が語る「人間が生き物の生き死にを自由にしようなんて、おこがましいとは思わんかね」と。
「銀河鉄道999」は、少年星野鉄郎が機械の体である「永遠の命」を手に入れるためにメーテルとともに旅をする物語である。省略するが、物語のテーマは命であり、永遠の命とは子どもを産み、次の世代へ紡ぐことであり、旅を通じて鉄郎はそれに気がつくのである。
近い将来、寿命に関する遺伝子やその仕組みが解明され、永遠の命が本当に手に入る時代が来るかもしれない。しかしながら、限り有るからこそ、「命」が無限大の価値を生み出し、より良い人生を歩むことができるのかもしれない。塾通いで出会った二つの名作により、現在自分は産婦人科医として、命の誕生とそれを支える母親に対する仕事に携わっているのであろう。最後に、シリーズのテーマである「妙手回春」とは、手を触れれば春になるかのような、凄腕の医師、また敏腕の医師により病気が良くなることであるが、子どもにとって母の「手当て」が一番の癒やしの力である。
順天堂大学卒業時
| 妙手回春(みょうしゅかいしゅん)とは
手を触れれば春になるかのような、凄腕の医師、また敏腕の医師により病気が良くなること。順天堂の3代目堂主であった佐藤進先生は、1895年の日清戦争中に狙撃された清国全権大使の李鴻章の治療にあたり、これを見事に快復させました。和親条約を締結後、李鴻章は扁額「妙手回春」を佐藤進先生に贈りました。そのレプリカは当院の1号館2階初診受付前にも飾られています。 |
【第7回】武藤 智(泌尿器科 科長・教授)
第7回
泌尿器科 科長・教授
武藤 智
百折不撓
筆者30代のころ
| 妙手回春(みょうしゅかいしゅん)とは 手を触れれば春になるかのような、凄腕の医師、また敏腕の医師により病気が良くなること。順天堂の3代目堂主であった佐藤進先生は、1895年の日清戦争中に狙撃された清国全権大使の李鴻章の治療にあたり、これを見事に快復させました。和親条約を締結後、李鴻章は扁額「妙手回春」を佐藤進先生に贈りました。そのレプリカは当院の1号館2階初診受付前にも飾られています。 |
【第6回】山本 平(心臓血管外科 科長・先任准教授)
第6回
心臓血管外科 科長・先任准教授
山本 平
それでも容赦なく、神と呼ばれる天才心臓外科医の声が手術室に響く。
「集中しろ。厳しいのはわかる。でも お前にも見えているんだろう?」
今見えている手術の景色、それだけでなく術野に隠れている大事な景色も見えている。
それとも他に何かが見えるというのか。
この厳しい手術の状況だけではないのか?
この患者さんがこれまで生きてきた人生なのか?
患者さんを待つ家族の姿なのか?
この状況が乗り切れなかった時の家族の涙なのか?
それともここを乗り切った時の数年後の患者さんと家族の楽しそうな笑顔なのか?
心臓外科医は、うまくいった手術はすぐに忘れてしまう。
当たり前の手術として体は覚えるが、頭の中には何も記憶として残らない。
しかし、うまくいかなかった場面は、決して消えることなく過剰記憶として蓄積されていく。
その記憶ともに、患者さんの姿、家族の姿も焼き付いて刻印されていく。
これは、私たちの幼少期から何も変わらない。
病気や事故で亡くなった小学・中学・大学時代の友達・親類との最後の会話、最期のお別れ、その時にその場にいた御家族の姿、御家族との会話、すべて記憶され消えることがない。
仕事として医学を選び、外科医になっても何も変わらない。
このどうにもならない記憶が蓄積されていく。
「あの時、もう少し違っていれば」「あの時、もう一手あれば」と日々思い浮かんでは考える。この消えない記憶を乗り越えるために、本を読み、いろいろな事象を調べて、新たな治療や新たな手術をできるように準備をする。
すべては患者さんと家族の笑顔のために。
神と呼ばれる外科医から多くのことを教わった。
「俺は、ここで最大で最高の一手を打つ。お前も絶対ついてこい。逃げるなよ。」
この緊張した場面が終わると平穏な日々に戻る。
よくできた仕事は、すべて記憶から消えていく。
こんな経験を私は後輩達に伝えられているのであろうか。
自問自答の日々を過ごす。

順天堂大学卒業時

筆者の研修医時代(左)食道がんの権威 秋山洋先生と(右)
| 妙手回春(みょうしゅかいしゅん)とは 手を触れれば春になるかのような、凄腕の医師、また敏腕の医師により病気が良くなること。順天堂の3代目堂主であった佐藤進先生は、1895年の日清戦争中に狙撃された清国全権大使の李鴻章の治療にあたり、これを見事に快復させました。和親条約を締結後、李鴻章は扁額「妙手回春」を佐藤進先生に贈りました。そのレプリカは当院の1号館2階初診受付前にも飾られています。 |
【第5回】金 勝乾(整形外科・スポーツ診療科 科長・教授)
第5回
整形外科・スポーツ診療科 科長・教授
金 勝乾
整形外科医になりスポーツ整形外科を専門としてきた。縁があってプロバスケットボールチームのチームドクターをやることになったが、先輩からはスポーツに携わるなら現場に行かないとダメだ、そうでないとドクターに何が求められているかがわからないからと教わってきた。そうかな、まあそうだろうと平日の夜や土日に現場に足を運び続けた。子供が小さいうちは妻に文句を言われながら。(今はいないほうが気楽なようだが・・)
現場に行きチームに帯同することによって仲間として受け入れてもらえたのはうれしかった。そしていつもそばにいる医師がきちんと診断をして治療をして選手が復帰していくというプロセスを繰り返すことによって、選手やスタッフから頼ってもらえると感じられるようになり励みにもなった。自分が関わっているチームや選手が優勝したり何かを成し遂げたときにはみんなで喜びを分かち合うことが出来る。これはスポーツ整形外科医としての醍醐味だろう。
医師になり30年以上が過ぎたが、スポーツ医としての知識や技術はいまだ不足と感じる。まだまだ精進しなければいけないと今日も思う。
バスケットボールワールドカップ2019帯同
| 妙手回春(みょうしゅかいしゅん)とは 手を触れれば春になるかのような、凄腕の医師、また敏腕の医師により病気が良くなること。順天堂の3代目堂主であった佐藤進先生は、1895年の日清戦争中に狙撃された清国全権大使の李鴻章の治療にあたり、これを見事に快復させました。和親条約を締結後、李鴻章は扁額「妙手回春」を佐藤進先生に贈りました。そのレプリカは当院の1号館2階初診受付前にも飾られています。 |
【第4回】角田 篤信(耳鼻咽喉・頭頸科 科長・教授)
第4回
耳鼻咽喉・頭頸科 科長・教授
角田 篤信
高位頸静脈球症という病気があります。病気というより、生まれつき鼓膜の奥の中耳というところに脳からの大きな静脈が突出する病態です。医者の2年目でその病気の患者さんをみて興味を持ち、研究を進めました。そこで分かったこと・・・そもそも頸静脈球という人類誰もが持っている構造は人間にしかありません。人間はかなり特徴的な頭部構造をしており、それが耳鼻咽喉科の病気や手術に影響することが分かってきました。
例えば耳垢除去は耳鼻咽喉科で毎日のように行いますが、おなじサルでも耳垢を取るのが非常に難しいサル(ヒヒなど)と、容易なサル(クモザルなど)に分かれます。ヒトは中くらいです。また鼻中隔湾曲症と言う鼻づまりを起こすありふれた病気があります。当院では毎週のように手術をしていますが、問題になるのはほぼ人間だけ。犬猫はもちろんサルでも起きません。オーストラロピテクスとかホモ・エレクトスという人達にも無かったと推定されます。進化の過程で脳(前頭葉)が発達したことが鼻中隔湾曲症の発症に関係していると推定されます。100万年後の人類はもっと鼻づまりで困っている可能性があります。元々耳鼻咽喉科は扱う範囲が広いのですが、こんなことも研究対象となる面白い科です。100万年後は花粉症シーズン以外でも耳鼻咽喉科が混雑しているかも知れません。
| 妙手回春(みょうしゅかいしゅん)とは 手を触れれば春になるかのような、凄腕の医師、また敏腕の医師により病気が良くなること。順天堂の3代目堂主であった佐藤進先生は、1895年の日清戦争中に狙撃された清国全権大使の李鴻章の治療にあたり、これを見事に快復させました。和親条約を締結後、李鴻章は扁額「妙手回春」を佐藤進先生に贈りました。そのレプリカは当院の1号館2階初診受付前にも飾られています。 |
【第3回】菱井 誠人(脳神経外科 科長・教授)
第3回
脳神経外科 科長・教授
菱井 誠人
「妙手回春」 “手を触れれば春になるかのような、凄腕の医師、また敏腕の医師により病気が良くなること”
凄腕でも敏腕でもない私が何を語れるであろうか。
ベッドに私をおいて帰る母を追いかけた病院の廊下。
病院の前の雑貨スーパーでブリキの玩具を父に買ってもらった日曜日。
最古の記憶の私は病院の中にいる。
幼少で気管支喘息を発症した私は病弱であった。いつしか、将来自分は医師になりたいと思うようになっていた。
脳神経外科医を志したのは、当時の脳神経外科教授 石井昌三先生に憧れたからであった。
病院に寝泊まりした研修医時代。異文化に出会い大きな影響を受けた米国留学。手術に明け暮れた大学病院での日々のなか、主任教授より新設される順天堂大学練馬病院へ赴任の打診があった。現役脳神経外科医としてのキャリアの丁度折り返し地点であった。
後輩医師と二人での脳神経外科の立ち上げ。大変であったが熱気にあふれた楽しい日々であった。スタッフも増員になり診療体制は安定していったが、あの頃の熱気は冷却していったように思う。私の意識も、挑戦から 継続と継承に変化していったようである。
つい先日、一人の患者さんが外来を訪れた。若き日に全力を尽くして治療した患者さんである。病気の再発であった。
しばし動揺した。あの頃の体力はない。治療も更に困難である。しかし万全の準備を行い、後輩の手も借りて、もう一度この患者さんの治療に向き合いたい。
医者がいて、患者さんがいるわけではない。
患者さんがいて、医者がいる。
妙手回春。私にとっての妙手は患者さんであった。
| 妙手回春(みょうしゅかいしゅん)とは 手を触れれば春になるかのような、凄腕の医師、また敏腕の医師により病気が良くなること。順天堂の3代目堂主であった佐藤進先生は、1895年の日清戦争中に狙撃された清国全権大使の李鴻章の治療にあたり、これを見事に快復させました。和親条約を締結後、李鴻章は扁額「妙手回春」を佐藤進先生に贈りました。そのレプリカは当院の1号館2階初診受付前にも飾られています。 |
【第2回】須郷 広之(院長補佐・/ 総合外科・消化器外科 科長・ 教授)
第2回
院長補佐 / 総合外科・消化器外科 科長・教授
須郷 広之
変わったもの、変わらないもの 外科医になって早くも32年が経ちます。この間、世の中の変化には凄まじいものがあります。インターネットが登場し黒電話はなくなり「ダイヤルを回す」も死語になりました。私の故郷ではゴールデンウィークに満開となる「弘前公園・桜まつり」が有名ですが、この30年で桜の開花は2週間早くなり、まさに地球温暖化を実感しています。
外科医を取り巻く環境も大きく変化しました。30年前、手術の美徳は「早さ」であり外科医のイメージは「豪放磊落」でした。実際、そうした先輩方が多く、手術時間の早さが術後成績を左右しました。それが様々な技術や麻酔の進歩、腹腔鏡手術の登場などにより、現在は「早さ」より「丁寧さ」「低侵襲」が術後成績を左右します。実際、以前では考えられない“80代高齢者に大手術”も今や日常となっています。
一方で変わらないものもあります。それは「いい結果を得ようと思えば、人よりも余計に手をかけて時間を割かなければならない」ということです。新しい技術や知識の習得もそうですが、患者さんを良くしようと思えば、結局「よく診て手をかけて時間を割く」ことが重要です。どんな仕事も同じではないでしょうか?アスリートも受験生も農業も、結局「かけたものが返ってくる」のは一緒のようです。手術も素質(センス)よりも学習の方がはるかに重要です。
弘前公園の桜も、開花時期は変わりましたが、その美しさは変わりません。

50歳過ぎてのラグビーOB戦(救急集中治療科 杉田 学 教授(左)と筆者)
| 妙手回春(みょうしゅかいしゅん)とは 手を触れれば春になるかのような、凄腕の医師、また敏腕の医師により病気が良くなること。順天堂の3代目堂主であった佐藤進先生は、1895年の日清戦争中に狙撃された清国全権大使の李鴻章の治療にあたり、これを見事に快復させました。和親条約を締結後、李鴻章は扁額「妙手回春」を佐藤進先生に贈りました。そのレプリカは当院の1号館2階初診受付前にも飾られています。 |
【第1回】浦尾 正彦(院長・小児外科 科長・教授)
第1回
院長・小児外科 科長・教授
浦尾 正彦
私は朝の渡り廊下が好きだ。ひんやりとした中で朝日が差し込み1日の始まりを感じさせる。私がその感覚を初めて感じたのは外科研修医になりたての頃、夜通しの手術を終えて切除した検体を別棟にあった病理検査室に運んでいるときであった。
炎症性腸疾患の20歳代の患者さんが前夜に急変し緊急で全結腸切除をしなければならなくなった。深夜にもかかわらず外科の先輩たちは何の躊躇もなく集まり整然と手術をこなした。大変な手術で終了したのは朝であった。一番下っ端の私が検体をもって順天堂医院の渡り廊下を歩いていた時、ひんやりとした朝の空気の中、朝日が差し込み私を照らしたのだ。その時私は自分が今後外科医として歩んでいくのだという決意のようなものを強く感じ、なんだかうれしくなった。
その後子供を手術する小児外科医になってあっと言う間に35年が過ぎた。先日、重症便秘の40歳代の女性を手術することになった。この方は子供のころからひどい便秘だったが、どの病院でも「たかが便秘でしょ、下剤飲んだら?浣腸したら?」と言われ続けてきた。40代になっておなかはいつでも妊婦の様でどうにも排便できなくなってきた。通常の10倍近い量で浣腸を行って3kgの排便をしたが腹部膨満は取れない。「本当に3kgですか」と私が驚いて尋ねると、「排便後に3kg体重が減るから3kgです」と。あちこちの専門病院にかかっても対応は同じであり半分あきらめていたが、肝機能障害のために順天堂練馬病院を受診した。腹部膨満が尋常ではないことを感じた内科医は成人外科医に相談。そこから先天的な便秘疾患であるヒルシュスプルング病を扱う小児外科に素晴らしい連携で相談が回ってきたのだ。成人では極めて珍しいが腸管組織検査の結果から神経節細胞が無いヒルシュスプルング病であることが分かった。通常この疾患は乳児期に腸閉塞として発見されるが 無神経節腸管が短ければ浣腸などで何とか排便できるため40年もの間苦しむ事になってしまったのだ。まだまだ小児外科疾患が世の中に認知されていないことを残念に思いつつ、小児外科で手術をすることを決定した。
成人であるが、小児外科で行う結腸プルスルー術を施行した。切除した腸管は研修医の時に持ったのと同じ重さであった。術後経過は良好で、自力で排便できるようになった。「まったく人生が変わりました」と感謝していただけた。外科医冥利に尽きるお言葉を本当にうれしく嚙み締めた。
本日も朝日の当たる順天堂練馬病院の渡り廊下を歩いて病院に向かっている。自分の持てる力を何とか使って患者さんの新しい人生に貢献できるよう今日も頑張りたいと思う。
| 妙手回春(みょうしゅかいしゅん)とは 手を触れれば春になるかのような、凄腕の医師、また敏腕の医師により病気が良くなること。順天堂の3代目堂主であった佐藤進先生は、1895年の日清戦争中に狙撃された清国全権大使の李鴻章の治療にあたり、これを見事に快復させました。和親条約を締結後、李鴻章は扁額「妙手回春」を佐藤進先生に贈りました。そのレプリカは当院の1号館2階初診受付前にも飾られています。 |